Новий метод кісткової аугментації в зонах оголених імплантатів: клінічна та гістологічна оцінка
Доступно онлайн на сайті: www.sciencedirect.com
Посилання на журнал: www.e-jds.com
Оригінальна стаття:
Новий метод аугментації букальної кістки в ділянках імплантатів з оголеною різьбою: клінічне, гістологічне та гістоморфометричне оцінювання результатів лікування
Ключові слова:
втрата альвеолярної кістки, кісткова регенерація, ксеногенний матеріал, імплантація, гістологія, остеоінтеграція.
Проблема дегісценції кісткової тканини навколо імплантатів з боку щоки є актуальною, особливо в умовах обмеженого об’єму залишкової кістки. Це дослідження спрямоване на перевірку ефективності двошарового підходу до аугментації, що поєднує пастоподібний та гранульований ксеногенний матеріал, покритий колагеновою мембраною. Такий підхід застосували для відновлення ділянок оголеної різьби імплантатів. У дослідженні взяли участь троє пацієнтів, для аналізу було відібрано три імплантати. Середній показник BIC сягнув понад 67 %.
Сучасна дентальна імплантологія демонструє високу передбачуваність та тривалу ефективність. Водночас збільшується частота випадків, коли імплантати потребують додаткового кісткового об’єму через анатомічні особливості або естетичні вимоги. Особливо складно досягти надійної остеоінтеграції у випадках з вираженим оголенням різьби імплантата. У відповідь на ці виклики було розроблено та протестовано інноваційний остеопластичний матеріал, що має пластичну консистенцію та краще утримується в дефектах без кісткових стінок.
У рамках проспективного дослідження троє пацієнтів із частковою або повною адентією отримали загалом 17 імплантатів, з яких три — в ділянки з вираженими дефектами букальної кістки. Ці імплантати були вилучені через шість місяців для аналізу. При аугментації застосовували формопластичний остеоматеріал (S1) та гранульований матеріал (BOSS), які покривали колагеновою мембраною (COLLA). Всі матеріали були бичачого походження. Стан кісткової інтеграції аналізували гістологічно та гістоморфометрично.
Після проведення стандартної імплантації в ділянках з оголеною різьбою було застосовано техніку DUK: на імплантат наносили спочатку пастоподібний матеріал, далі — гранули, після чого укладали мембрану та закривали клапті швами без натягу. Всі пацієнти отримували антибіотики (амоксицилін) та знеболення (ібупрофен), а через шість місяців — проходили контроль та біопсію ділянки.
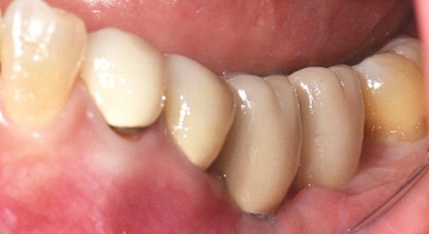
Клінічно спостерігалося повне загоєння без ускладнень. Не було зафіксовано випадків десісценції, інфекцій чи оголення мембран. Всім пацієнтам були встановлені постійні ортопедичні конструкції на імплантатах.
Гістологічні зрізи трьох отриманих імплантатів — демонструють регенерацію букальної кістки через шість місяців після імплантації. Чорна горизонтальна лінія позначає найбільш корональну точку контакту букальної кістки з імплантатом, а червона лінія вказує на початковий рівень букальної дегісценції під час встановлення імплантата, що дозволяє оцінити утворення нової кістки.
Рис. 1. Схематичне зображення техніки аугментації букальної кістки із застосуванням формопластичного кісткового матеріалу (*) та гранульованого кісткового трансплантата (**) навколо дефекту та оголеної різьби імплантату з букального боку.
Рис. 2. (A) Пацієнт із виявленою необмеженою (non-contained) втратою кісткової тканини та оголенням імплантату з букального боку на момент встановлення імплантату. (B) Нанесення основного шару пастоподібного кісткового матеріалу перед внесенням гранульованого кісткового трансплантата. (C) Укладання колагенової мембрани з покриттям зони трансплантації — від букального до піднебінного боку — та фіксували за допомогою внутрішніх періостальних швів. (D) Через шість місяців після аугментації — візуалізується регенерація кістки з букального боку в ділянці раніше оголеної різьби імплантату.
Рис. 3. Гістологічні зрізи трьох отриманих імплантатів:
(A) зразок 1 (верхня щелепа),
(B) зразок 2 (нижня щелепа),
(C) зразок 3 (нижня щелепа),
Використана методика показала позитивні результати остеоінтеграції, навіть у випадках повної втрати букальної кістки. Пластичний матеріал демонструє кращу стабільність та простоту в маніпуляціях, ніж традиційні гранули. Проте, гістологія вказує на те, що не всі частинки повністю резорбуються або заміщуються кісткою, і частина з них може залишатись оточеною м’якими тканинами.
Система імплантатів G•DIFF IB-T, застосована у цьому дослідженні, має SLA-поверхню, конусоподібне тіло та перемикання платформ, що забезпечує високу первинну стабільність і збереження маргінальної кістки. Усі три імплантати з експериментальної групи показали стабільний контакт із новоутвореною кісткою. Попри це, деякі ділянки характеризувались фіброзною тканиною або неповним зрощенням. Це вказує на необхідність подальших досліджень — з більшими вибірками, довшими термінами спостереження та залученням біоактивних речовин для стимуляції ангіогенезу.
Висновки: Двоетапна методика із застосуванням пластичного кісткового матеріалу в поєднанні з гранулами та колагеновою мембраною дозволяє досягти стабільного BIC навіть при складних умовах. Отримані дані свідчать про ефективність підходу, хоча повна кісткова регенерація не завжди досягається. Метод потребує подальшого вивчення та оптимізації. З клінічної точки зору, він може бути рекомендований як ефективне рішення у випадках дегісценції кістки навколо імплантатів.
Кераміка для облицювання каркасів з цирконію та дисилікату літію Zirkonia 750
HeraCeram® Zirkonia 750
Для каркасів з діоксиду цирконію та дисилікату літію,
Кераміка для облицювання каркасів з цирконію та дисилікату літію Zirkonia 750

HeraCeram® Zirkonia 750
Для каркасів з діоксиду цирконію та дисилікату літію
HeraCeram Zirkonia 750 це ідеальний вибір для матеріалів каркасу з КТР від 10.2 до 10.5 μm/mK, тобто облицювання діоксиду цирконію та дисилікату літію. Стабілізована структура лейциту захищає від сколів та тріщин, від загальновизнаної проблеми деяких інших цирконієвих керамічних систем. HeraCeram Zirkonia 750 з її SLS формулою забезпечує необхідну надійність там, де вона потрібна.
HeraCeram®
Завжди натуральна естетика.
Кераміки, які чудово адаптовані як на вигляд, так і за технічними властивостям: це проста, надійна та швидка обробка з неперевершеними естетичними результатами. Кожен керамічний продукт HeraCeram спеціально адаптований до вашого матеріалу каркасу.
У той же час, кожна кераміка має однаковий порядок роботи та висока естетику для досягнення відмінних результатів, на які ви можете покластися.
|
Оптично досконало – з кварцовим склом
найвищої чистоти
Синтетичне кварцове скло – ваша гарантія чудової якості всіх керамік HeraCeram. Завдяки своїй винятковій чистоті вони створюють унікальні естетичні властивості, такі як внутрішня опалесценція та флюоресценція.
|
Технічно досконалі – стабілізована структура лейциту (SLS)
Стабілізована структура лейциту (SLS) гарантує особливу стійкість керамік HeraCeram до стресів. А постійний і незмінний рівень мікроскопічних кристалів лейциту робить сколи та тріщини подіями з минулого.
|
Просто чудово – з однаковою філософією застосування
Усі кераміки HeraCeram застосовуються однаково при нанесенні шарів, що дозволяє досягати максимальної ефективності. Додатковий бонус: економія дорогого робочого часу за рахунок короткого часу випалу та охолодження, залежно від техніки, яку ви віддаєте перевагу.
SLS Рецепт досягнення успіху.
|
Лейцит – серце стоматологічної кераміки. Без цієї силікатної структури, отриманої з мінералізованих силікатів та цирконію, металокераміка, яку ми знаємо сьогодні, ніколи не існувала. Лейцит відповідає за термічне розширення, необхідне для зчеплення кераміки з металевими сплавами. Однак регулювання термічного розширення не є єдиною функцією. Лейцит не тільки підвищує міцність, а й значно знижує сприйнятливість керамічного матеріалу до стресу
|
Недоліком лейциту у багатьох металокераміках є постійне некероване зростання кристалів у процесі неодноразових випалів. Це призводить до збільшення термічного розширення, яке може стати причиною непередбачуваної напруги у поєднанні кераміки із металевими каркасами. Неконтрольоване зростання термічного розширення може виникати через неадекватне хімічного складу та типу виробничого процесу.
|

|
У стоматологічних кераміках лейцит діє подібно до рослини, яка росте після поглинання поживних речовин. І якщо складові скомпоновані з надмірною кількістю Al 2O3 та K2O, лейцит продовжить розширюватися/рости при неодноразових випалах.
|
З метою вирішення цієї проблеми стоматологічна кераміка Kulzer виробляється із застосуванням зовсім інших методів. Усі матеріали виготовляються з точною відповідністю компонентів до певних етапів обробки. Цей процес, який ми називаємо управлінням лейцитів, створює "стабілізовану структуру лейциту", відому як SLS, для стислості. Завдяки цьому методу обробки всі кераміки від Kulzer дозволяють вам користуватися перевагами лейциту, не турбуючись про несприятливі наслідки, таких як некероване зростання значень КТР. Для користувача це означає максимальну надійність та менша напруга, у поєднанні із ідеальним естетичним результатом.
|

Кераміки® для всього, що ви робите
Ідеальна основа будь-яких вимог.
З кераміками HeraCeram, ви можете досягти естетичних реставрацій, придатних для кожного випадку у будь-якій ситуації – від справжнього відтворення повсякденних А-D відтінків до вмілого налаштування, аж до високотехнологічних комплексних реставрацій з різноманітною динамікою світла.
Естетичне облицювання: просте в три шари, індивідуальна з широким спектром додаткових ефектів або копіювання природи з використанням компонентів Matrix – HeraCeram дає вам гнучкість та свободу для вашого дизайну.

Ідеально підходить для каркасів.
Встановлення вузького імплантату та негайне навантаження з тимчасовою реставрацією в області правої нижньої щелепи
Лікар: Soohong Kim, D.D.S., Ph.D
Пацієнт: 32 роки, жінка ; Медична історія: Н/Д
Діагноз: відсутній зуб # 44
План лікування:
44, Ø3.1X12мм імплантат INNO та негайна реставрація
44 SFIT Ti-Base та коронка Zircornia 1 місяць після операції
Обговорення:
- Цей випадок показує вузьку установку імплантату в правій нижній щелепі.
- Імплантат був розміщений на місці зуба #44 з вузькими проміжками і тимчасова реставрація з акрилової смоли була негайно встановлена.
Тотальне протезування на імплантатах INNO (Сowellmedi, Корея)
Пропонуємо вашій увазі відео реального кейсу тотального протезування на імплантатах INNO (Сowellmedi, Корея)
Імпланти встановлені із застосуванням хірургічних шаблонів. Протетична конструкція на гвинтовій фіксації (MUA (Multy Unit Abutment) INNO, Cowellmedi)
Вдячні за кейс лікарю Володимиру Яцуха, клініка Excelline, м. Одеса
Використання атравматичного екстракційного набору Cowellmedi в хірургічній практиці
Використовується для негайного і легкого видалення кореня зуба за допомогою простої процедури.
Тимчасова реставрація з тимчасовим абатментом при негайній імплантації.
Практика встановлення короткого імплантату INNO Sub. Short
|
Клінічні випадки:
Одночасне встановлення короткого імплантату INNO
|
 |
Фото до операції


Передопераційний панорамний знімок

Етапи встановлення імплантату та необхідні інструменти:
1) Свердло списоподібне для короткого імплантату INNO

2) Свердло коротке зі стопером 7 мм

3) Свердло діаметром 2,0 зі стопером 7 мм

4) Свердло діаметром 3,5 зі стопером 7 мм

5) Свердло діаметром 5,0 зі стопером 7 мм

6) Короткий імплантат діаметром 5,0

7) Імплантовод ручний

8) Сила використання динамометричного ключа 40 Н/см

9) 2 мм букальна дегісценція

10) Формувач 7,5 діаметром 6,5

11) Фіксація формувача 35 Н/см

12) Післяопераційний КТ знімок

Короткий імплантат з імплантоводом INNO
віддалені результати встановлленя короткого імплантату INNO Sub. Short
дані спостережень 8-10 років

Біодентин. Перший і єдиний дентин в капсулі.
Biodentine™ був розроблений дослідницькою групою Septodont, як матеріал нового класу, поєднує високі механічні властивості з чудовою биосумісністю і біоактивною дією. Декілька років активних спільних досліджень лабораторій фірми Septodont і університетів Франції привело до створення нової формули цементу на основі силікату кальцію, призначеного для відновлення дентину зуба.







Зменшення ризику крос-контамінації при використанні наконечників Bien-Air з анти-ретракційними клапанами

Обтурація кореневих каналів термопластіфіцірованной гуттаперчей
Підвищення ефективності ендодонтичного лікування залишається однією з актуальних проблем практичної стоматології. Швидке і якісне пломбування кореневих каналів - запорука успішного лікування ускладнених форм карієсу. Удосконалення сучасних технологій дозволило запропонувати метод тривимірної обтурації кореневих каналів за допомогою техніки вертикальної конденсації гарячої гутаперчі. При звичайному способі обтурірованія кореневої канал заповнювався нерівномірно, залишаючи порожнечі і не забезпечуючи повної герметизації, а про заповнення периферійних канальців і мови не йшло - на колишньому етапі розвитку це було нездійсненно. Незаповненою латеральних канальців, як правило, призводить до формування патологічних процесів на верхівці кореня, руйнування періодонта і подальшого видалення зуба. Якщо канал не обтурують правильно, патологічних процесів на верхівці кореня не уникнути. Хороший довгостроковий прогноз після проведеного лікування кореневих каналів в чималому ступені залежить від того, як стоматолог зумів заповнити складне внутрішній простір кореня. Методика заповнення кореневого каналу розігрітій гутаперчею застосовується досить давно, зараз використовуючи при цьому новітні прилади.
Представляємо вам сучасну безпровідний систему для обтурації кореневих каналів Діа-Дуо (Dia-Duo) від компанії Діадент (Diadent). Завдяки цим приладам лікар отримує можливість здійснити процес тривимірного пломбування термопластіфіцірованной гуттаперчей навіть анатомічно складних каналів.
Першим в лінійці представлений бездротової прилад для тривимірної обтурації кореневих каналів методом вертикальної гарячої конденсації Дуо-Пен. Цей прилад використовується для комбінованого методу пломбування шляхом вертикального ущільнення і заповнення, забезпечує бездоганну тривимірну обтюрацию не тільки апікальної частини, але і латеральних каналів (DownPack).
Особливості та переваги Дуо-Пен (Duo-Pen)
- Дозволяє якісно запломбувати викривлені канали зуба, а також канали з бічними розгалуженнями і роздвоєння, загнуті верхівки кореня.
- Зменшує ризик перелому кореня.
- Розігріта гутаперча ідеально заповнює нерівномірну поверхню стінок каналу, забезпечуючи герметичність і довговічність лікування.
- Максимальна зручність
- Невеликі розміри і маса приладу
- Цифровий індикатор дозволяє легко встановити необхідну температуру (170, 200, 230 З)
- Наконечник приладу виконаний зі спеціального матеріалу, що дозволяє нагрівати встановлений плаггер до заданої температури миттєво.
- Індикатор відобразить нагрів і охолодження приладу
- Бездротовий тип девайса зменшує напругу руки і зап'ястя, що сприяє більш точній роботі.
За Дуо-Пеном слід бездротової прилад для тривимірної обтурації кореневих каналів термопластичной розігрітій гутаперчею методом BackFill - Дуо-Ган.
Дуо-Ган - професійний прилад, який дозволяє запломбувати середню і коронковую частини каналу (після попередньої обтурації апікальної третини методом DownPack) і здійснити повну обтурацію кореневого каналу методом введення розігрітого матеріалу «від низу до верху» (BackFill) при клінічних показаннях.
Особливості та переваги Дуо-Ган (Duo-Gun):
- Швидкий нагрів матеріалу для обтурації до необхідної температури (15 сек)
- Управління однією кнопкою
- Екран і кнопка включення розташовані з двох сторін девайса для зручності користування як лівші так і правшів
- Спеціальний антітермічній ковпачок захищає від можливих опіків і забезпечує стерильність пристрою.
- Відсутність шнура підвищує мобільність і ергономіку лікувального процесу.
- Невеликі розміри пістолета дозволяють легко позиціонувати його в важкодоступних місцях і тим самим провести лікування на високому професійному рівні.
Методика тривимірної обтурації кореневих каналів приладами Дуо-Пен і Дуо-Ган або приладом Діа-Дуо.
Підготовка до обтурірованію.
Належним чином підготуйте канал, так як правильна форма каналу полегшує процес пломбування. Підберіть відповідний апікальний майстер-штифт, який повинен мати ті ж розмір і конусність, що і отпреппарірованний кореневої канал і проходити на всю його довжину. Підготуйте до роботи прилад Дуо-Ган: встановіть гранулу гутаперчі і виставте на приладі температуру.
Підготуйте до роботи прилад Дуо-Пен:
- підберіть відповідний каналу плаггер для розігріву гутаперчі і за допомогою силіконового стоппера зафіксуйте на ньому довжину на 3-7 мм менше робочої довжини каналу і вставте обраний плаггер в наконечник приладу.
- виставте на приладі температуру розігріву плаггера.
Обтурація каналу
Майстер-штифт з невеликою кількістю силера припасів в кореневому каналі. Далі за допомогою приладу Дуо-Пен розігрітим плаггером видаліть надлишки штифта у гирла каналу. Ручним плаггером великого розміру короткими енергійними рухами обробіть канал по колу, щоб проштовхнути гутаперчу у напрямку до апексу каналу, очистити стінки каналу і спресувати знаходиться в ньому гутаперчу. Знову активуйте плаггер і одночасно введіть його в канал через розм'якшується їм гутаперчу, не доходячи до отмеренной на плаггере довжини (яка на 5 мм. Менше робочої довжини каналу) 2 мм (у міру просування плаггера здійснюється початковий етап обтурації латеральних каналів). Дезактивують плаггер Pack і продовжите чинити на нього тиск просуваючись на 2 мм в апикальном напрямку, тобто до силіконового стопа. Продовжуючи утримувати плаггер в кореневому каналі на заздалегідь встановленої довжині, охолодіть його протягом 8 секунд, одночасно надаючи їм помірний тиск в апикальном напрямку. Це потрібно для того, щоб спресувати теплу гуттаперчівую масу в кінцевій третині системи каналів і компенсувати усадку в процесі охолодження. Знову активуйте плаггер на одну секунду; потім дезактивують його і видаліть з каналу рухом вниз - вгору (у вигляді коми) разом з гутаперчею, що знаходиться в середній і гирлової частинах каналу. Таким чином ми відокремлюємо і видаляємо гутаперчу з середньої і гирлової частин кореневого каналу, не порушуючи обтурацию апікальної частини. Ручним плаггером малого розміру короткими енергійними рухами обробіть незапломбірованную частина каналу по колу, щоб очистити стінки і скондесувати залишки гуттуперчі, що знаходяться в середній і устьявой частинах каналу, в його апикальную частина.
Після того, як установка апикальной пломби проведена, слід перейти до роботи апаратом Дуо-Ган, яка полягає в послідовному введенні розігрітої гутаперчі в канал і конденсації її в вертикальному напрямку ручними плаггерамі. Цей етап пломбування називається «техніка BackFill» Притисніть голку Дуо-Гана до раніше ущільненої в апікальній частині каналу гутаперчі Активуйте наконечник Дуо-Ган і випустіть невелику (інакше при подальшому охолодженні гутаперчі відбудеться її усадка і вона відірветься від стінок каналу, також велика порція гутаперчі може вийти назад разом з голкою) порцію гутаперчі. Продовжуйте натискати на спусковий курок, поки не відчуєте легке виштовхує рух. Після цього дезактивують наконечник і виводимо голку з зуба. Ручним плагера короткими енергійними рухами очищаємо стінки каналу і Конденсируя гутаперчу в апикальном напрямку протягом 5 секунд, щоб запобігти подальшій усадку і звільнити більше місця для наступних порцій.
Повторюйте етапи 1-3 до повної обтурації каналу. З кожною наступною порцією використовуйте для конденсації гутаперчі більший розмір ручного плаггера. Застосування даних приладів в клініці робить роботу лікаря більш якісної, довговічної, надійної і швидкої, дає кращий результат, практично виключає можливість проникнення інфекції, зводить до мінімуму ризик перелому кореня, дозволяє здійснити реставрацію зуба за одне відвідування.
Відгук:
Dia Dent duo, як на мене, має ряд приємних в роботі моментів. По-перше це компактна і ергономічна система для обтурації кореневих каналів, тк це дуже важливо в роботі ендодонтист, тим більше при роботі зі збільшенням. Всі кнопки управління розташовуються дуже зручно і не викликають складнощів в їх пошуку або, навпаки, в випадковому натисканні і відключенні в подальшому. По-друге: плагера добре нагріваються і не тягнуть гутаперчу, тим самим забезпечується чітка і герметична обтурація апікальної третини кореневого каналу. І на завершення скажу, що сам інжектор має зручний носик подачі гутаперчі, який простий в роботі. Так само мені дуже сподобалася сама гутаперча, досить просто конденсується.
Задерещенко Катерина Сергіївна - лікар-стоматолог-терапевт
Чи важлива вага в медичних рукавичках?
Протягом майже 30 років Фірма «Укр-Медмаркет» пропонує на стоматологічному ринку України великий асортимент продукції, що відповідає високим стандартам якості і очікуванням стоматологів та зубних техніків.
У тому числі це стосується рукавичок, представлених в нашій мережі магазинів «Медтехніка». Підбираючи асортимент рукавичок Medicom, «Укр-Медмаркет» виходить з потреб наших клієнтів і сфери їх застосування. Пропоновані нами рукавички є високоякісними, комфортними у використанні, міцними до розривів та проколів. Їх щільність оптимально підходить для робіт в першу чергу в стоматологічній сфері, і також захоплюють всі сфери медицини і косметології.

Нітрилові рукавички виготовляються з синтетичного каучуку, який не є натуральним і не містить протеїн. Вони забезпечують чудову чутливість, прилягання до руки, комфорт та еластичність. Вони стійкі до широкого спектру хімічних речовин, розчинників, масел, мастильних речовин і пропонують кращу зносостійкість, високу тактильну чутливість і чудові властивості щодо міцності на розрив і прокол.
Особливо, це стосується чорних нітрилових рукавичок, щільність яких 5 грам, що ідеально підходить для робіт стоматологів та зубних техніків.
Вони ідеальні для захисту від поширених ризиків, які потребують комбінації зносостійкості і стійкості. Текстуровані пальці рукавичок допомагають надійно утримати предмети у вологому і сухому середовищі.
Як бути впевненим, що ви вибираєте правильні рукавички для своїх завдань?
Коли ми купуємо одноразові нітрилові рукавички, то для розуміння щільності і товщини рукавички найчастіше ми користуємося вагою (вага однієї рукавички).
Але, наприклад, в США, які є одним з головних ринків одноразових рукавичок в світі і які мають величезний вплив на стандарти виробництва і класифікацію, медичні рукавички мають градацію не за вагою, а по своїй товщині в міліметрах, точніше в Мілах.
Міл (англ. Mil, скор. Від mille - тисячна частка) - одиниця виміру відстані в англійській системі заходів.
1 міл = 1⁄1000 дюйма = 0,0254 мм = 25,4 мікрометра
Однак, як показала світова практика, дана система вимірювань не універсальна щодо одноразових рукавичок в силу того, що товщина рукавички варіюється на пальцях, долоні, тильній стороні, манжеті. Навіть за умови, що виробник має намір зробити рукавичку з єдиною товщиною всій поверхні, товщина матеріалу на кінчиках пальців все одно буде вище, ніж на манжеті в силу існуючого технологічного процесу і гравітаційного тяжіння нашої планети.
До того ж товщина в міліметрах змінюється і в залежності від того яким боком рукавичка надіта на руку, і яка сторона зараз виступає як долоня. Так яка ж система вимірювання більш правильна, вірна і надійна з точки зору споживача? Все частіше, навіть готуючи товар для продажу, в США виробники починають маркувати свої вироби з характеристикою за вагою, ніж по товщині в міліметрах. Використання вагових характеристик у грамах дозволяє обійти гострі кути, які виникають з варіюванням товщини рукавички.
У чому ж різниця і як пов'язати між собою те, що неможливо пов'язати - товщину і вагу, міліметри і грами? Основне завдання рукавичок - забезпечувати бар'єрний захист між руками і зовнішнім середовищем. Введення вагової класифікації рукавичок зіграло позитивну роль в стандартизації виробничої сфери. А як же бути споживачеві?
Споживачеві теж стало легше. Раніше стандартними рукавичками вважалися рукавички товщиною 3 міла, а щільні рукавички зазвичай були на 4-5 мілий і вище, але потрібно було дивитися в табличці товщину на пальці, долоні, манжеті. Зараз з же з допустимою варіативністю в 0,3 грама в ту чи іншу сторону вагова класифікація дає чітке поняття що за рукавичку ви купуєте. Нижче ви бачите таблицю, яка наочно показує, наскільки вимір в грамах точніше, ніж в Мілах щодо рукавичок. Якщо можна так висловитися, вимір в Мілах занадто усереднює і узагальнює особливості кожної рукавички і створює додаткові перешкоди для прозорості в питаннях якості рукавичок.
|
Приклад перекладу грам в мил і назад
|
|
Матеріал
|
Вага в грамах
|
Товщина в mil
|
|
Латекс
|
5,9
|
4 mil
|
|
Латекс
|
5,5
|
4 mil
|
|
Латекс
|
5,2
|
4 mil
|
|
Латекс
|
5,0
|
4 mil
|
|
Матеріал
|
Вага в грамах
|
Товщина в mil
|
|
Нітрил
|
6,0
|
6 mil
|
|
Нітрил
|
5,0
|
4 mil
|
|
Нітрил
|
4,5
|
4 mil
|
|
Нітрил
|
4,0
|
4 mil
|
|
Нітрил
|
3,5
|
3 mil
|
|
Нітрил
|
3,2
|
3 mil
|
|
Нітрил
|
2,8
|
2 mil
|
26 вересня 2019 року відбувся перший партнерський візит представників Корпорації HASS Corp. (Корея) в Україні в офіс "Укр-Медмаркет"
26 вересня 2019 г. Компанія «Укр-Медмаркет» була рада провести перший партнерський візит представників Корпорації HASS Corp. (Корея) в Україні.

Ваш домашній стоматолог
Якщо Ви підшукуєте домашнього стоматолога, то зверніть увагу на іригатор. З його допомогою Ви зможете забути про будь-які проблеми з зубами раз і назавжди. Цей пристрій включає одночасно і зубну щітку, і іригатор - іншими словами все те, що необхідно для підтримки здоров'я зубів і ясен. Використовуючи цей прилад постійно Ви назавжди забудете про проблеми з зубами.
Іригатор для ротової порожнини - пристрій для виконання гігієнічної процедури в домашніх умовах, а саме: за рахунок безлічі пульсацій води видаляються зубний наліт і залишки їжі між зубами, також масажуються ясна, що покращує їх стан.
Перший іригатор для ротової порожнини був розроблений в 1962 році зубним лікарем і інженером з містечка Форт-Коллінс, США. З тих пір було виконано понад 50 наукових досліджень іригаторів. Прилад був протестований і показав ефективність у випадках пародонтиту, а також гінгівіту, діабету, ортодонтичних пристосувань, коронок і імплантатів. Найбільш наочним ефектом застосування іригатора для порожнини рота є надзвичайно ефективна терапія кровотеч і гінгівіту. Недавні дослідження показали, що іригатор перевершує зубну нитку як в зниженні кровотечі, так і в зменшенні зубного нальоту.
В ході дослідження, що проводилося в Південно-Каліфорнійському університеті, було виявлено, що секундна обробка пульсуючою водою (при 1200 пульсаціях в хвилину) при середньому тиску (490 кПа) видаляє 99,9% бляшок нальоту оброблених ділянок. Клінічна ефективність була показана при використанні середніх параметрів і вище.
Іригатори в першу чергу поділяються за типами: стаціонарний (вимагає стаціонарної установки і розетки поруч з ванною) і портативний (переносний іригатор, який працює від батарейки і може використовуватися в поїздках, а також зручний в ваннах, де немає розетки). Інші важливі параметри, які розрізняють іррігатори, - це натиск струменя, кількість насадок, а також спеціальні режими.

Коли потрібен іригатор
Іригатор не замінює щоденне чищення зубів за допомогою щітки і пасти, проте відмінно доповнює її.
Судіть самі, скільки користі від цього приладу:
Профілактика і додаткове лікування кровоточивості ясен, пародонтиту, гінгівіту. За допомогою іригатора можна промити важкодоступні ділянки (в тому числі глибокі пародонтальні кишені) і видалити наліт і м'які відкладення разом з патогенними бактеріями, які викликають запалення ясен.
Використання іригатора саме по собі не позбавить від вже розвиненого гінгівіту або пародонтиту - ці захворювання лікує тільки лікар - але допоможе стримати поширення інфекції і забезпечить відмінну гігієну порожнини рота.
Профілактика карієсу і стоматиту, в тому числі у дітей. Використовувати іригатор можна дітям з 6 років, потрібно тільки вибрати слабкий напір струменя або придбати спеціальну дитячу модель.
Усунення неприємного запаху - за рахунок поліпшення гігієни порожнини рота.
Наполегливо рекомендується застосування іригаторів людям, які мають коронки, незнімні протези, мости, імплантанти і носять брекети.
Вагітним і годуючим мамам;
Пацієнтам зі зниженим загальним імунітетом (наприклад, при цукровому діабеті);
курцям
У разі хронічного перікороніта (скрутне прорізування зубів мудрості).
Як промиваютча рідина використовується очищена вода або розчини, що володіють лікувальними або профілактичними діями. Як правило, використання звичайної води в іригаторі недостатньо, оскільки вона не може знищити патогенну мікрофлору. Тоді як саме хвороботворні мікроорганізми і є джерелами захворювань пародонту, карієсу зубів, неприємного запаху з рота. Як розчин для іригатора можливе використання різних рідин. Все залежить від потреб пацієнта - антисептичні та антибактеріальні при захворюваннях пародонту (причому різні, в залежності від того чи іншого типу мікроорганізмів, присутнього в парадонтальних кишенях), фтор і кальцій розчини для профілактики карієсу, препарати для зниження чутливості зубів і ремінералізії емалі, дезодоруючі і т.д. При використанні лікувальних розчинів дія препарату і гідромасажу комбінується. При виборі розчину для іригатора обов'язково ознайомтесь з інструкцією, так як неправильне застосування може стати причиною поломки приладу. Лікувальні засоби для іригатора також необхідно обговорити з Вашим лікуючим лікарем.

Як часто застосовують іригатор?
Щоденного застосування іригатор не вимагає, його досить використовувати всього 2-3 рази в тиждень (1 раз протягом обраного дня), що значно поліпшить стан порожнини рота. Ефект відчується вже в перший тиждень застосування. Постійне ж щоденне додаткове очищення може привести до зайвого травмування ясен і їх кровоточивості. У разі необхідності та наявності деяких захворювань або особливостей фахівець може порекомендувати інший режим.
Регулювання напору
Це важливий параметр, який слід враховувати при виборі іригатора.
По-перше, якщо ви тільки починаєте користуватися іригатором, то потрібно встановити слабкий напір, поступово його підвищуючи.
По-друге, людям з різними проблемами порожнини рота рекомендуються різні режими напору. Наприклад, при кровоточивості ясен або слабкою емалью вибирати несильний напір. Курцям, любителям кави або тим, у кого спостерігається схильність до підвищеного утворення нальоту, краще встановлювати потужний натиск.

Чи є протипоказання?
Абсолютних протипоказань до використання іригаторів немає. Нашкодити може неправильне використання. Однак пацієнтам, що страждають на ревматизм і мають деякі серцево-судинні захворювання, мають штучний клапан серця необхідно обумовити питання можливості використання іригатора зі стоматологом. Також не слід використовувати іригатор в гострій стадії пародонтиту і після фіксації незнімних конструкцій на прийомі у стоматолога (24 години).
Небажано використовувати іригатор дітям до 6-ти років, а діти старшого віку спочатку повинні користуватися іригатором під наглядом дорослих.
Х-Smart IQ Майбутнє ендодонтії
Технологічний бездротової ендодонтичний мотор, який працює через додаток для Apple iPad mini.




Сплави HERAENIUM® - для зуботехнічної лиття
Розвиток дентальних технологій CAD / CAM значною мірою спрямована на полегшення праці зубних техніків. Збулася мрія багатьох фахівців: відсканував необхідну ділянку щелепи, натиснув на кнопку - отримав каркас, злегка підфарбував і готово!
Але не так все просто, панове. Сучасна технологія виробництва зубних протезів не може відмовитися від високоточної дентального лиття.
Ефективна робота стоматологічних клінік і зуботехнічних лабораторій безпосередньо залежить від якості використовуваного обладнання, матеріалів і рівня технологій.
Специфіка роботи ливарних лабораторій така, що доводиться чітко слідувати інструкціям по використанню матеріалів і роботі обладнання, саме це гарантує відмінні результати в виготовленні металевих каркасів. Особливо ретельно потрібно підходити до вибору сплавів, бо це визначає якість майбутнього протеза.
Вибір сплаву залежить від безлічі факторів - один з основних це биосовместимость сплаву, в зв'язку з тим, що метал тривалий час буде перебувати в порожнині рота пацієнта, щоб уникнути будь-яких алергічних реакцій організму ці метали мають пройти обов'язкову сертифікацію в Україні! Інші важливі фактори - це стійкість металу до корозії і потускнению, також він повинен володіти хорошими фізікомеханіческіх властивостями.


Придатність сплаву для виготовлення конкретного зубного протеза, будь то вкладка, яка має незначну навантаження, або мостовидний протез для жувальних зубів, перш за все визначається механічними властивостями сплаву, такими як його жорсткість, міцність, гнучкість або пластичність і твердість. Жорсткість залежить як від конструкції протеза, так і від модуля пружності сплаву. Чим вище модуль пружності, тим жорсткіше буде структура вироби тієї ж форми. Це важливий момент, особливо для мостовидних протезів великої протяжності, литих штифтів, часткових протезів і кламерів.
Такі конструкції найімовірніше будуть відчувати великі навантаження, і тому не повинні давати постійної деформації. Це означає, що сплав повинен володіти високим показником міцності при розтягуванні або витримувати питомі навантаження (сила на одиницю площі) без істотного деформування. Проте, для таких виробів, як кламерами, високу міцність необхідно поєднувати з певною пластичністю.
Кобальт-хромові сплави.
Со - Сг сплави вперше в стоматологічній практиці почали використовуватися в 30-х роках, і з цього часу вони успішно замінюють золотовмісні сплави IV типу при виготовленні каркасів часткових зубних протезів, перш за все завдяки їх відносно низькій вартості, що є істотним чинником при виготовленні таких великих виливків.
ПП ,, Фірма ,, Укр-Медмаркет '' представляє в Україні метали
компанії Kulzer (Німеччина).

Матеріали і набори матеріалів стоматологічних реставраційних. Kulzer GmbH пройшли оцінку відповідності технічним регламентом щодо медичних виробів №753 та мають сертифікат відповідності і дозволені до застосування в Україні.

Сплави серії HERAENIUM® об'єднують в собі чудову фізичну сумісність і високу корозійну стійкість поряд з чудовими механічними властивостями. Вони чудові в лиття, мають відмінну плинністю, що дозволяє їм добре заповнювати порожнечі. Каркаси з цих сплавів чудово піддаються електрохімічної обробки і поліруються.
Heraenium EH
Сплав для модельного лиття з останніх розробок фірми, що задовольняє вищі запити по еластичності і пружинисті матеріалу, а також його обробки, яка завершується особливо успішно при застосуванні моделировочного воску KF з найдрібнішими частинками в мікроструктурі. У зв'язку з цим сплав Heraenium EH займає одне з перших місць в технології модельного лиття.
властивості:
• чудові поворотні властивості;
• міцність на скручування;
• поліпшені якості обробки і полірування.

Heraenium NF
Абсолютно нова розробка CoCrMo-сплаву для всіх видів модельного лиття, включаючи витончені конструкції. Володіючи модифікованим складом в порівнянні зі сплавами Heraenium CE і Heraenium EH, цей сплав має межу текучості при розтягуванні на 15-20% більше, ніж звичайно, рівного 0,2% при однаково високої твердості. Це говорить про можливість чудового виконання витончених і складних робіт. Рекомендується для виготовлення кламмерной бюгелей.
властивості:
• найвищий межа плинності - 0,2% (720 МРа) серед сплавів серії Хереніум;
• 5% розтягнення, чим пояснюється чудовий поворотний момент;
• гарна якість зварювання, як традиційної, так і за допомогою лазера.

Heraenium P
CoCrMo сплав для виготовлення коронок і мостів з керамічної або акрилової облицюванням.
• без вмісту Ni;
• добре зв'язується з керамікою;
• проявляє оптимальні фізичні якості;
• має широкий діапазон застосування;
• легкий і простий в роботі;
• КТР: 25-500 град. З: 13,8 мкм .; 20-600 град. З: 14,0 мкм.
Ваш ідеальний помічник в створенні натуральних реставрацій
Вам необхідна легкість в роботі з матеріалом, висока якість і надійність реставрацій. Kulzer намагається враховувати Ваші очікування і продовжує розробляти і вдосконалити свої продукти. Завдання Kulzer поєднати наукові розробки і багаторічний досвід створення естетичного матеріалу, який був би зручний в роботі і мав блиск і відтінки натуральних зубів.
Charisma Classic
Досвід х Наукові дослідження = ефект Microglass II
Это легко. Это превосходно. Это для Вас.
Вам необхідна легкість в роботі з матеріалом, висока якість і надійність реставрацій. Kulzer намагається враховувати Ваші очікування і продовжує розробляти і вдосконалити свої продукти. Завдання Kulzer поєднати наукові розробки і багаторічний досвід створення естетичного матеріалу, який був би зручний в роботі і мав блиск і відтінки натуральних зубів. Результат роботи - це Charisma Classic - наступне покоління Charisma - базового матеріалу Kulzer, який є улюбленим матеріалом мільйонів стоматологів по всьому світу протягом вже 20-ти років.
З зручною й легкою кремовою консистенцією Charisma Classic точно завоює перше місце у Вашій щоденній практиці. З новою формулою Ви полюбите цей матеріал ще більше. Покращена технологія наповнювача Microglass II забезпечить Вам чудові результати Ваших робіт і приголомшливий блиск відтінків матеріалу. Ще ніколи робота в одношарової техніці нанесення не була такою простою і зручною.
Charisma Classic - працюйте просто.
Charisma Classic - світлотверднучий, рентгеноконтрасстний реставраційний композитний матеріал:
- Кремова консистенція забезпечує легку і швидку моделировку поверхні реставрації
- Чудова фінішна обробка і полірування - швидке досягнення натурального блиску поверхні реставрації
- Покращена цветоадаптація дозволяє швидко підібрати колір реставрації
- Покращена рентгеноконтрастність забезпечує безпечну і точну діагностику.




Часто задавані питання:
Що найважливіше в Charisma Classic?
Charisma Classic - Це перший композит, створений на основі другого покоління технології наповнювачів Microglass®. Завдяки цій технології можна працювати одним відтінком матеріалу і отримувати хороші результати.
Які переваги у новій технологиии наповнювача Microglass® II?
Технологія наповнювача Microglass II® більше не потребує SiO2 і тому володіє внутрішнім світлом і відмінним ефектом хамелеона. Всі показники заломлення нашої матриці і системи наповнювачів були оптимально вировнени.Charisma Classic пропонує більш просту шкалу відтінків, з якої можна легко підібрати і вибрати потрібний. Більш інтенсивно непрозорі відтінки дозволяють легко маскувати дісколоріта.
Чи існують які-небудь відмінності в часі полімеризації і максимальної товщині шару між відтінками і прозорістю Charisma Classic?
Так! Стандартні відтінки VITA (A1, A2, A3, A3.5, A4, B1, B2, B3, C2) Charisma Classic повинні полимеризоваться протягом 20 секунд. Максимальний шар 2 мм.
Все непрозорі відтінки (OA2, OA3, OA3.5) повинні бути отверждаясь протягом 40 секунд і не повинні перевищувати шари товщиною 1 мм. Причиною цього є відмінність в щільності забарвлення і поглинанні світла.
Що змінилося в шкалі відтінків?
Відтінки Charisma Classic тепер ідеально відповідають шкалою відтінків VITA, також була створена велика опаковість для наших непрозорих відтінків OA2, OA3 і OA3.5. Ці відтінки ідеально підходять для невеликих порожнин, для яких потрібно менше матеріалу. Крім того, ця велика опаковість полегшує маскування колірних дефектів зубів.
Які непрозорі відтінки ви б рекомендували використовувати в поєднанні з наявними універсальними відтінками VITA?
Ідеально підходить для простих одноколірних реставрацій. Рекомендовані комбінації: всі яскраві відтінки VITA A1, A2, B1, B2 і C2 слід використовувати в поєднанні з OA2. OA3 - ідеальний вибір при використанні A3 або B3. Всі темні відтінки VITA (A3.5, A4) вимагають базового шару OA3.5 для досягнення ідеальних результатів. Charisma Classic є рентгеноконтрастной.Відна на рентгенівських знімках, щоб полегшити діагностику безпечним і простим способом.Матеріал заснований на тій же матричної системі Bis-GMA, що і попередня Charisma.
Який розмір часток наповнювача у Charisma Classic?
Charisma Classic містить приблизно 61% наповнювача за обсягом. Середній розмір частинок 0,005-10 мкм.
У чому унікальність шкали для підбору відтінків Charisma Classic?
Унікальність шкали для підбору відтінків Charisma Classic! Шкала для підбору відтінків складається з оригінального матеріалу Charisma Classic, а не з акрилу. Це означає, що точність кольору між обраним відтінком і реставрацією ідентична, що призводить до 100% успіху.
Який композитний матеріал ви б рекомендували використовувати для більш складних випадків?
Charisma Classic і технологія Microglass® II ідеально підходять для простих одношарових реставрацій, тоді як Charisma Topaz підходить для більш складних випадків вимагають різноманітності відтінків і прозоростей. Charisma Topaz заснована на нашій інноваційної матриці TCD, яка поєднує в собі високу міцність на вигин і низьку усадку.
Які умови необхідно дотримуватися для полімеризації Charisma Classic?
Для полімеризації підходять галогенні або світлодіодні лампи. Отверждение відбувається при довжині хвилі 460-470 нм і світловіддачі 600-150 мВт / см2.
За якими показниками я можу використовувати Charisma Classic?
Клінічні показання включають пряме відновлення порожнин IV класу (відповідно до Black), прямі композитні вініри, зміни форми зубів (тобто діастеми, вроджені дефекти в зубах і т.д.), Шинирование зубів, ослаблених травмою або захворюваннями періодонта, відновлення первинних зубів і ремонт порцеляни / композиту
Презентація нового інтраоральний сканера Planmeca Emerald в мережі клінік «Аванто», м.Київ
16.04.2019 р компанія «Укр-Медмаркет» провела презентацію і навчання по роботі з новим інтраоральний сканером Planmeca Emerald для команди лікарів нашого довгострокового і постійного партнера - мережі клінік передової стоматології «Аванто»!

Мережа клінік «Аванто» обладнана конусно-променевими комп'ютерними томографами Planmeca ProMax 3D, стоматологічними установками Planmeca Compact Classiс, Compact Touch, а тепер ще й новітньою розробкою фінської компанії - інтраоральний сканерами Emerald!
Перераховане обладнання працює на одній передовій платформі для стоматології - програмі Planmeca Romexis, яка дозволяє використовувати великий набір інструментів для будь-якої спеціалізації та зберігати всі види даних: від 2D- і 3D- фото і рентгенографії до CAD / CAM. Всі знімки і дані пацієнта доступні в одному зручному і індивідуально настроюється інтерфейсі.


Під час презентації теоретична частина була закріплена практикою в одному з кабінетів клініки - кожен лікар міг вивчити всі переваги сканера. Planmeca Emerald здійснює сканування за допомогою 3-х лазерів, що дозволяє досягти високу швидкість з повним спектром світла. Planmeca Emerald неймовірно точний і здатний захоплювати дрібні деталі області сканування. Підключення USB 3.0 і портативна система Plag & Play дають можливість використовувати Planmeca Emerald на декількох робочих станціях.

Основні переваги сканера Planmeca Emerald:
- Компактний, легкий і ергономічний дизайн - зручний для використання
- Швидке сканування в режимі реального часу, без використання спрею
- Дві "розумні" кнопки - під час сканування пацієнтів не потрібно торкатися комп'ютера
- Червона, зелена і блакитна лазерні технології з прогнозованою тріангуляцією гарантують отримання точних 3D-моделей
- З'єднання Interlock для легкої заміни кабелю
- Відсутність рухомих частин всередині сканера, крім вентилятора охолодження - не потрібно калібрування фокуса
- Сканер може використовуватися як автономний пристрій, або може бути інтегрований в стоматологічну установку Planmeca
- Насадка з активним підігрівом гарантує відсутність запотівання при інтраоральний застосуванні
Ключові особливості програмного забезпечення:
- Модуль сканування дозволяє обрізати, редагувати і розмічати уступи на 3D-моделях
- Planmeca PlanCAD® Easy дозволяє сканувати і моделювати в програмі Planmeca Romexis® версії 4.6.2.R або більш пізньої версія
- Підтримка відкритих форматів STL і PLY
- Сканування і збір 3D-даних інтраорально, сканування відбитків і моделей
- Швидке розпізнавання поверхні - пацієнт може спокійно відпочити, а потім легко продовжити сканування
- Сканер працює з ноутбуком - зручно обмінюватися даними з колегами
- У комплектації зі сканером - ноутбук (робоча станція DELL) і безстрокова ліцензія, яку не потрібно оновлювати щороку!

Компанія «Укр-Медмаркет» пишається своїми клієнтами і їхніми здобутками, демонструючи успіхи використання високотехнологічного якісного стоматологічного обладнання та інструментів в клініці для лікування пацієнтів!